Den Geheimnissen der Herzzellen auf der Spur
Ein Herz scheint reine Physik zu sein: Klappen öffnen und schließen sich, das Blut fließt in Strömen, elektrische Impulse steuern den Herzschlag. Wissenschaftlerinnen und Wissenschaftler eines deutsch-britischen Kooperationsprojektes betrachten das Herz auf eine andere Weise: Sie wollen es in seine kleinsten Bestandteile - die Zellen - zerlegen und diesen ihre Geheimnisse entlocken. So wollen sie verstehen, was das Herz schwach und krank macht. Koordiniert wird das Forschungsprojekt auf deutscher Seite am Max-Delbrück-Centrum in Berlin.
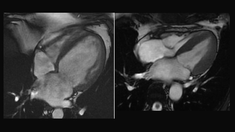
DCM und HCM stehen im Zentrum
Im Zentrum stehen zwei Formen der Herzschwäche: die dilatative Kardiomyopathie (DCM) und die hypertrophe Kardiomyopathie (HCM). Bei beiden kann das Herz schlechter pumpen, die Gründe sind jedoch verschieden. Bei der DCM ist die linke Herzkammer ausgedehnt wie ein mit Wasser gefüllter Luftballon. Die HCM hingegen kennzeichnet, dass sich die Wände der Herzkammer verdicken. Die Forscher wissen, dass bei beiden Prozessen die Herzmuskelzellen verändert und dass auch Bindegewebszellen beteiligt sind.
Tausende Einzelzellen analysieren
„Was sich auf molekularer Ebene genau abspielt, verstehen wir noch nicht genug“, sagt Projektleiter Prof. Norbert Hübner vom Max-Delbrück-Centrum für Molekulare Medizin in der Helmholtz-Gemeinschaft (MDC). Das Forscherteam will deshalb tausende Einzelzellen aus verschiedenen Bereichen des Herzens mit modernsten Methoden analysieren, um zum Beispiel herauszubekommen, aus welchen Genen und Proteinen sie bestehen.
Aus dem direkten Vergleich von Zellen aus gesunden und kranken Herzen versprechen sich die Forscher wegweisende Erkenntnisse. „Darauf aufbauend könnten vielleicht neue Therapien für Herzschwäche entwickelt werden oder Methoden, die dafür sorgen, dass Herzschwäche gar nicht erst entsteht“, hofft Hübner. Derzeit gibt es keine ursächliche Behandlung und somit auch keine Heilung. 200.000 Herzschwäche-Patienten kommen jährlich ins Krankenhaus, die schwersten Fälle müssen auf eine Transplantation hoffen.
Modellierung am Computer
Auch wenn Einzelzell-Analysen spannende Erkenntnisse versprechen, kann man Zellen letztlich nur im Verbund korrekt beschreiben, denn sie sind vielfältigsten Einflüssen aus ihrer Umgebung ausgesetzt. Dazu zählen der Druck in den Herzkammern aber auch Wechselwirkungen mit anderen Zellarten, Botenstoffe, Immunprozesse. „Sogar bei gesunden Herzzellen gleicht keine Zelle der anderen“, weiß Hübner. Die Lokalisierung der Zellen im Raum und die Modellierung von Zellverbünden am Computer gehören deshalb mit zur Forschungsstrategie.
Die deutschen und britischen Teams ergänzen sich im Projekt mit wertvollen Forschungsressourcen. Die britischen Projektpartner stellen menschliche Herzproben von gesunden und erkrankten Spendern zur Verfügung. Das Team von Thomas Eschenhagen in Hamburg weiß, wie man Herzgewebe im Labor züchtet. Damit lassen sich Herzerkrankungen modellieren und Tests von pharmakologischen Wirkstoffen durchführen, welche den Weg für neue Medikamente ebnen können.
Gefördert wird das Projekt mit dem Titel „Spatially resolved cellular and molecular drivers of cardiac remodeling in healthy and failing” vom Deutschen Zentrum für Herz-Kreislauf-Forschung, DZHK, und von der British Heart Foundation mit insgesamt 2,5 Millionen Euro für drei Jahre.
Projektpartner im DZHK:
Prof. Norbert Hübner (Koordinator), Max-Delbrück-Centrum für Molekulare Medizin (MDC), Prof. Thomas Eschenhagen, Universitätsklinikum Hamburg-Eppendorf, Prof. Nikolaus Rajewsky, Max-Delbrück-Centrum für Molekulare Medizin (MDC) und BIMSB
Projektpartner der BHF:
Dr. Michela Noseda (Koordinator), Imperial College London, National Heart and Lung Institute; Dr. Sarah Teichmann, Wellcome Trust Sanger Institute; Professor Stuart Cook, Imperial College, National Heart and Lung Institute
Quelle: idw/Deutsches Zentrum für Herz-Kreislauf-Forschung e.V.
Artikel teilen






