Beim Alpha-1-Antitrypsin-Mangel handelt es sich um einen erblichen Gendefekt, der entweder homozygot, also von beiden Elternteilen vererbt wird, oder heterozygot, nur von einem Elternteil, an das Kind weitergegeben wird. An der heterozygoten Form leidet etwa eine von 20 Personen in Europa, bei der homozygoten Form handelt es sich um etwa eine Person von 2000 und die Wahrscheinlichkeit der Erkrankung ist höher. Doch manche Patientinnen und Patienten bleiben trotz des Gendefekts gesund, während andere an Lungenkrankheiten leiden oder es auch zur Leberfibrose kommt.
Nur ein Drittel erkrankt schwer
Das Protein Alpha-1-Antitrypsin ist ein Enzymhemmer, der zwar in der Leber hergestellt wird, doch in der Lunge wirkt. Daher beziehen sich die Auswirkungen des Mangels meist auf die Lunge, da das Protein dort die Produktion von Immunzellen reguliert. Liegt der Gendefekt vor, können sich die Alpha-1-Proteine nicht korrekt entfalten und die Leber produziert zu wenig dieser Enzymhemmer.
Die neuen Erkenntnisse zur Erkrankung beziehen sich auf die homozygote Form, die Forschende des Max-Planck-Instituts bei München untersucht haben. Denn nur etwa ein Drittel der Personen mit homozygotem Gendefekt erleidet auch eine Leberfibrose, die restlichen zwei Drittel bleiben gesund. Mit dem Verfahren Deep Visual Proteomics gingen die Forschenden dieser Sache auf den Grund. Das Verfahren ist darauf spezialisiert, mithilfe der Proteomanalyse tiefliegende Ursachen von Krankheiten aufzudecken.
Krümel- oder ballförmige Aggregate
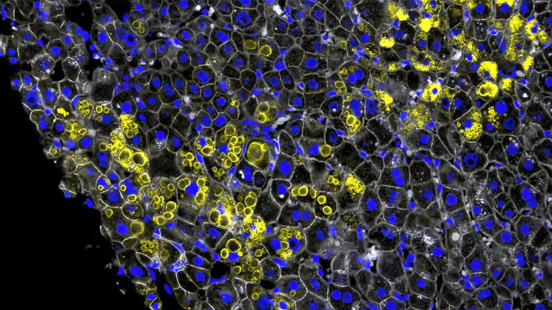
Grundlage dieser Studie waren Lebergewebeproben von Patientinnen und Patienten mit Leberfibrose. „Wir haben uns Proben über das komplette Krankheitsspektrum hinweg angeschaut. In den frühen Stadien – also dann, wenn die Erkrankung noch nicht klinisch auffällig ist – konnten wir sehen, wie es dem Körper gelingt, die beginnende Krankheit doch noch aufzuhalten“, erläutert Florian Rosenberger, Erstautor der Studie. Für die Analyse der Mikroskopieaufnahmen nutzten die Forschenden ein spezielles künstliches neuronales Netz, das vorher darauf trainiert worden war, Gesichter und Alltagsgegenstände zu erkennen. Auch die Leberzellen konnte die KI gut erkennen und differenzieren.
So konnte die KI zwei Formen erkennen, wie sich das Alpha-1-Protein in den Hepatozyten ansammelt. Am häufigsten kamen krümelförmige und ballförmige Aggregate vor. Dank einer zeitlichen Anordnung der Bildung dieser Proteinbälle oder -krümel konnten die Forschenden herausfinden, welche Bedeutung die beiden Formen haben. So ist die krümelförmige Variante zuerst da und eine Gegenreaktion gestresster Zellen auf die Erkrankung. Die ballförmigen Ansammlungen kommen erst später, wenn die Leberfibrose bereits vorhanden und im fortgeschrittenen Stadium ist. Dennoch steht das Zellstadium nicht in direktem Zusammenhang mit der Schwere der Erkrankung, ballförmige Ansammlungen finden sich auch bei Betroffenen mit leichter Leberfibrose. „Die Veränderung vom Krümel zum Ball ist ein Kernpunkt der Studie. Sie zeigt, welche kompensatorischen Mechanismen in den Leberzellen in welcher Reihenfolge ablaufen. Wie die Zellen versuchen, die Aggregatbildung und damit die Leberfibrose zu bekämpfen“, schlussfolgert Rosenberger.
Die Ergebnisse liefern eine Grundlage, mit der zukünftig Leberfibrosen bei Menschen mit der homozygoten Variante verhindert werden können. Denn bei Personen mit schwerer Fibrose fehlt die frühe peroxisomale Reaktion, die jedoch schützend wirkt. So könnte ein Frühwarnsystem der Leberfibrose entwickelt werden, um Patientinnen und Patienten mit einem hohen Risiko zu identifizieren.
Quelle: idw
Artikel teilen




