Die Hämatoxylin-Eosin-Färbung (Teil 1)

Histologie
Johanna Wezgowiec
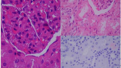
Adenokarzinom der Mamma
Adenokarzinom der Mamma © Roche Diagnostics Deutschland GmbH - gefärbt mit VENTANA HE 600
Newsletter­anmeldung

Bleiben Sie auf dem Laufenden. Der MT-Dialog-Newsletter informiert Sie jede Woche kostenfrei über die wichtigsten Branchen-News, aktuelle Themen und die neusten Stellenangebote.

Formularfelder Newsletteranmeldung

* Pflichtfeld

Die Hämatoxylin-Eosin-Färbung – seit über 100 Jahren eine feste Größe in Laboratorien in der ganzen Welt. Die erste erfolgreiche biologische Anwendung von Hämatoxylin wurde 1865 von Böhmer beschrieben. Im Laufe der Zeit ist diese Kern-Plasma-Färbung zu der am häufigsten angewendeten Färbung im histologischen Labor geworden, da inzwischen alle Proben, die in der Pathologie verarbeitet werden, die Färbung durchlaufen.

Zusammenfassung

Die Hämatoxylin-Eosin-Färbung ist das wichtigste und am häufigsten angewandte Färbeverfahren in histologischen Laboratorien. Die Standardisierung dieser Färbemethode erfordert eine genaue Betrachtung der beiden Farbstoff e, Hämatoxylin und Eosin (in-house-Herstellung vs. Fertiglösungen), sowie eine Festlegung der internen Laborstandards in Bezug auf das angewandte Verfahren (regressiv vs. progressiv) und die zur Verfügung stehende Technik (manuell, automatisch etc.).

Online-Angebot der MT im Dialog

Um das Online-Angebot der MT im Dialog uneingeschränkt nutzen zu können, müssen Sie sich einmalig mit Ihrer DVTA-Mitglieds- oder Abonnentennummer registrieren.

Stellen- und Rubrikenmarkt

Möchten Sie eine Anzeige in der MT im Dialog schalten?

Stellenmarkt
Industrieanzeige