Seltene neurologische Erkrankung zeigt wahres Gesicht

SYNE1-Ataxie
lz
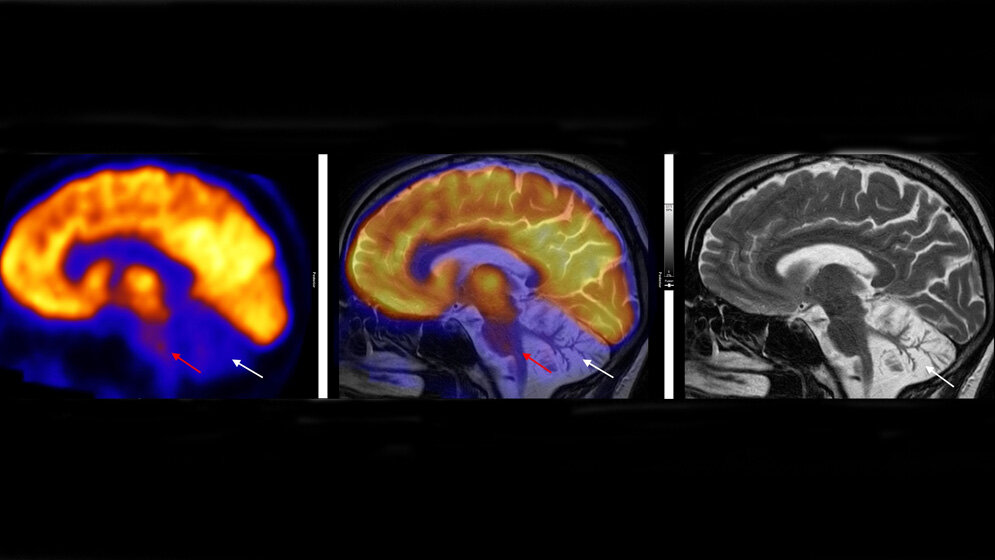
Stoffwechselaktivität des Gehirns
Stoffwechselaktivität des Gehirns (links: PET) und Struktur des Gehirns (rechts: MRT) sowie die Überlagerung beider Bilder (Mitte) bei einem Patienten mit SYNE1-Erkrankung.* Dr. Mona Mustafa, Klinik für Nuklearmedizin, LMU München
Newsletter­anmeldung

Bleiben Sie auf dem Laufenden. Der MT-Dialog-Newsletter informiert Sie jede Woche kostenfrei über die wichtigsten Branchen-News, aktuelle Themen und die neusten Stellenangebote.

Formularfelder Newsletteranmeldung

* Pflichtfeld

Tübinger Wissenschaftler zeigen: Es gibt wesentlich mehr Betroffene, schwerwiegendere Symptome und mehr genetische Veränderungen als bisher gedacht.

„Fast wie betrunken, nur ohne Kopfschmerzen“ – eine im Osten Kanadas entdeckte Bewegungsstörung gilt bislang als nicht sonderlich schwerwiegend, äußerst selten und wahrscheinlich sogar auf diesen Landstrich beschränkt. Dr. Matthis Synofzik vom Hertie-Institut für klinische Hirnforschung (HIH) der Universität Tübingen und des Universitätsklinikums Tübingen und vom Deutschen Zentrum für neurodegenerative Erkrankungen (DZNE) in Tübingen und seine Kollegen haben jetzt gezeigt, dass dies eine Fehleinschätzung ist. Die Krankheit ist kein kanadisches Phänomen, sondern kommt weltweit vor, auch in Deutschland. Sie ist häufiger als bislang angenommen und kann mit vielen verschiedenen Symptomen verbunden sein, von einer verkrümmten Wirbelsäule über Lähmungen und fortschreitendem Muskelschwund bis zur geistigen Behinderung.

Protein versagt seinen Dienst

Koordinationsstörungen, sogenannte Ataxien, bringen das Leben ins Wanken. Allerdings erkranken von hunderttausend Personen nicht mehr als zwanzig. Vor fast zehn Jahren wurde in Quebec eine neue Ataxie entdeckt, bei der ein riesengroßes Eiweiß seinen Dienst versagt. Dieser Protein-Koloss sitzt in der Hülle des Zellkerns und verankert dort einen Teil des Zellskeletts. Seine exakte Funktion ist allerdings noch unklar. Der Koloss und sein dazugehöriges Gen heißen SYNE1. Wegen dieser enormen Größe, bietet das Gen reichlich Platz für genetische Veränderungen, allerdings rufen nur solche Mutationen die Ataxie hervor, die das Protein derart verkleinern, dass keine brauchbare Version mehr entsteht.

Steckt mehr hinter dieser Erkrankung?

Schwanken, verwaschenes Sprechen und Doppelsehen gelten bisher als die typischen Symptome dieser SYNE1-Ataxie. Die meisten kanadischen Patienten brauchen nicht einmal einen Rollator, sondern kommen mit einem Gehstock zurecht. Die Krankheit gilt auch als Leiden, das nicht schnell voranschreitet und die Lebenserwartung nicht verkürzt. „Wir wollten wissen, ob das die ganze Wahrheit ist oder ob noch mehr hinter dieser Erkrankung steckt“, sagt Matthis Synofzik. Synofzik leitet seit zwei Jahren die Forschungsgruppe Systemneurodegeneration am HIH.

*Im Kleinhirn sind bereits viele Nervenzellen abgestorben (rechte Abbildung; weißer Pfeil). Die Stoffwechselaktivität ist nicht nur im Kleinhirn stark reduziert (weiße Pfeile), sondern auch im Hirnstamm (rote Pfeile, Hirnstamm leuchtet nicht mehr gelb). Das zeigt, dass die SYNE1-Ataxie viele verschiedene Gehirnbereiche betrifft.

Der Neurologe hat mit sieben europäischen Zentren zusammengearbeitet und zunächst 434 Patienten aus 36 Ländern untersucht. In einer zweiten Studie haben er und seine Kollegen nochmals 116 weitere Patienten untersucht, um die Ergebnisse zu bestätigen. Bei seltenen Erkrankungen kommt man nur durch derart enge internationale Kooperationen zu neuen Erkenntnissen.

Rezessiv vererbte Bewegungsstörung

Alle Kranken leiden unter einer unklaren, rezessiv vererbten Bewegungsstörung. In der Welt der Genetik bedeutet dies, dass die Eltern äußerlich gesund sind, weil sie neben einer defekten Kopie des Gens noch eine gesunde Kopie haben. Ein Teil ihrer Kinder hat allerdings nur die beiden defekten Kopien geerbt und ist deshalb krank.

Der Tübinger Neurologe und seine Kollegen konnten zeigen, dass rund fünf bis sechs Prozent der Patienten mit unklarer rezessiver Ataxie Mutationen im SYNE1-Gen haben, die das Protein ruinieren. Aber nur einer von fünf Patienten mit einer solchen Mutation hat die milden, aus Kanada bekannten Symptome. Vier von fünf Patienten haben sehr viel mehr und vor allem sehr viel schwerere Krankheitszeichen. „Das Spektrum reicht von Veränderungen an der Wirbelsäule, über Missbildungen an den Füßen, Muskelschwund, Lähmungen bis hin zu Störungen bei der Atmung und geistiger Behinderung.

Eine gewisse Ähnlichkeit zu ALS

Wir haben es bei der SYNE1-Ataxie also nicht mit einer milden Bewegungsstörung zu tun, die vom Kleinhirn ausgeht, sondern mit einer komplexen Erkrankung, bei der offensichtlich auch das Skelett und die motorischen Nervenzellen im Rückenmark betroffen sind“, erklärt Synofzik. Gerade die Beteiligung der motorischen Nervenzellen scheint ein häufiges Symptom bei der SYNE1-Ataxie zu sein. Dadurch hat die Erkrankung eine gewisse Ähnlichkeiten mit der Amyotrophen Lateralsklerose (ALS). Bei dieser neurologischen Erkrankung versagt die Muskulatur, so dass die Betroffenen in ihrem Körper regelrecht eingemauert werden.

SYNE1-Ataxie ist häufiger, komplexer und schwerwiegender

Die Forscher räumen auch mit der Einschätzung auf, dass die Lebenserwartung der Kranken nicht reduziert ist. Drei der insgesamt 30, in beiden Studien identifizierten Patienten hatten Schwierigkeiten mit der Atmung. Einer dieser Patienten starb mit 36 Jahren an den Komplikationen. „Die Krankheit wird neu bewertet werden müssen“, sagt Synofzik. „Wir stehen erst am Anfang, wissen aber jetzt, dass die ursprünglich beschriebene Symptomatik nur auf einen Teil der Patienten zutrifft. Die SYNE1-Ataxie ist häufiger, komplexer und schwerwiegender als bisher angenommen.“

Arbeit an diagnostischem Test

Synofzik und seine Kollegen haben bei der Sequenzierung der defekten Genkopien insgesamt 46 neue Mutationen gefunden. Die Wissenschaftler plädieren deshalb dafür, bei einem Verdacht auf diese Erkrankung immer das gesamte riesengroße Gen durchzumustern, auch wenn das mühsam ist. „Es gibt offensichtlich viele verschiedene Mutationen, die das Gen außer Gefecht setzen“, sagt der Neurologe. „Wir können den einzelnen Symptome keine bestimmten Mutationen zuordnen und werden das vielleicht auch nie können. Aber wir haben jetzt einen Eindruck von der genetischen Komplexität der Erkrankung.“ Die Wissenschaftler konnten auch zeigen, dass die Kranken kein SYNE1-Protein mehr in ihren Muskeln haben. Sie arbeiten jetzt daran, daraus einen diagnostischen Test für die klinische Routine zu machen. (idw, red)

Literatur:

Matthis Synofzik et al.: SYNE1 ataxia is a common recessive ataxia with major non-cerebellar features: a large scale multi-centre study. Brain, DOI:10.1093/brain/aww079

Inès Mademan et al.: Multisystemic SYNE1 ataxia: confirming the high frequency and extending the mutational phenotypic spectrum. Brain: DOI:10.1093/brain/aww115

Artikel teilen

Online-Angebot der MT im Dialog

Um das Online-Angebot der MT im Dialog uneingeschränkt nutzen zu können, müssen Sie sich einmalig mit Ihrer DVTA-Mitglieds- oder Abonnentennummer registrieren.

Stellen- und Rubrikenmarkt

Möchten Sie eine Anzeige in der MT im Dialog schalten?

Stellenmarkt
Industrieanzeige