Mit diesen Verbesserungen sollen krankhafte Veränderungen erfasst werden, die im Zusammenhang mit „spinozerebellären Ataxien“ auftreten. Diese neurodegenerativen Erkrankungen äußern sich durch Bewegungsstörungen und andere Beeinträchtigungen. Das vom DZNE koordinierte Projekt ist auf drei Jahre angelegt und wird unter dem Dach des EU Joint Programme – Neurodegenerative Disease Research (JPND) mit insgesamt etwa 1,4 Millionen Euro gefördert. Das DZNE erhält davon rund 630.000 Euro, die vom Bundesministerium für Bildung und Forschung (BMBF) bereitgestellt werden.
Herausforderungen bei 7-Tesla-MRT
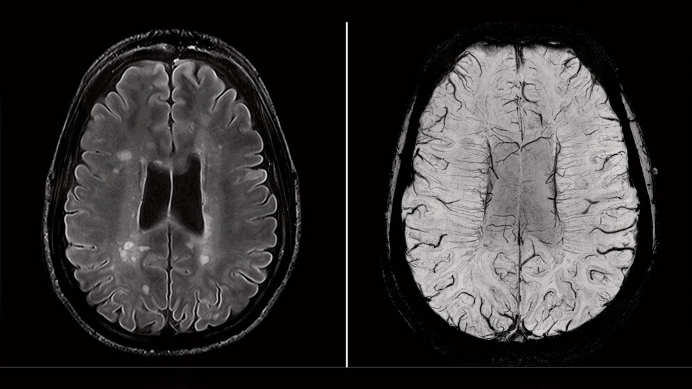
In der klinischen Routine werden zumeist MRT-Scanner eingesetzt, die mit bis zu drei Tesla betrieben werden. Höhere Feldstärken – Fachleute sprechen von „Ultrahochfeld-MRT“ – sind bislang noch vorwiegend der Forschung vorbehalten. Das aktuelle Projekt mit dem Namen „SCAIFIELD“ widmet sich der 7-Tesla-MRT. Europaweit gibt es etwa 20 dieser Geräte, so auch am DZNE in Bonn. Obwohl die hohe Feldstärke prinzipiell eine besonders hohe räumliche Auflösung ermöglicht – sie hat also das Potenzial, feine Details zu erfassen –, bringt diese Technik auch Herausforderungen mit sich. Denn bei der 7-Tesla-MRT ist die Wellenlänge der Radiowellen im Gewebe physikalisch bedingt kleiner als die Größe des menschlichen Kopfes. „Wir haben Wellenberge und Wellentäler, die sich über das Gehirn verteilen und sich zudem überlagern können. Infolgedessen ist das elektromagnetische Feld nicht überall gleich stark. Das verschlechtert an manchen Stellen das Signal-zu-Rausch-Verhältnis und damit die mögliche Auflösung. Im Zentrum des Gehirns ist die Bildqualität gut und wird nach außen hin schlechter“, sagt Prof. Tony Stöcker, Physiker und MRT-Experte am DZNE in Bonn, der das SCAIFIELD-Konsortium koordiniert. „In gewisser Weise ist es so, als ob man in einem dunklen Raum ein großes Wandgemälde mit einer Taschenlampe beleuchtet. Außerhalb des Lichtflecks bleibt das Bild im Halbdunkel. Details sind dann schwer zu erkennen.“
Verbesserung durch paralleles Senden
Einen Ansatz um diese Inhomogenitäten auszubessern, bietet seit wenigen Jahren das „parallele Senden“ – im Fachjargon „parallel transmission“ (pTx) genannt. Der Clou: Statt die Radiowellen auf herkömmliche Weise mit nur einer Sendespule zu erzeugen, kommen mehrere Sendespulen gleichzeitig zum Einsatz, die separat angesteuert werden. „Dadurch ergeben sich zahlreiche Freiheitsgrade, weil man die Amplitude der Radiowellen und ihre Phasenbeziehung zueinander individuell einstellen kann“, so Stöcker. „Die Hardware dafür liegt in Form spezieller Sendespulen vor. Aber bei den Steuerungsprogrammen, die man benötigt, um solche Spulenkombinationen optimal zu betreiben, steht die Entwicklung noch am Anfang.“
DZNE konzentriert sich auf MRT-Sequenzen
Genau hier setzt SCAIFIELD an: Gemeinsam mit Fachleuten aus Belgien, Norwegen und der Türkei wollen die Forscher/-innen des DZNE Messprotokolle und weitere Verfahren entwickeln, um die bestehende MRT-Technik maximal auszureizen. „Dabei kommt uns zugute, dass sich bei MRT-Scannern grundsätzlich viele Parameter per Software einstellen lassen. Das bietet enorme Flexibilität, macht die Aufgabe aber auch komplex“, sagt Stöcker. Die Projektpartner übernehmen sich ergänzende Arbeitspakete: Das DZNE konzentriert sich auf die Steuerungsprogramme für die Hirnscanner – auch „MRT-Sequenzen“ genannt –, die Norwegische Universität für Wissenschaft und Technologie in Trondheim sowie die Bilkent Universität in Ankara steuern Know-how über die pTx-Methode bei, Fachleute der Universität Lüttich entwickeln Software für die Daten-Analyse.
Auflösung von einem halben Millimeter angestrebt
„Letztlich wollen wir Messgrößen generieren, mit denen sich krankhafte Veränderungen des Gehirns mit Zahlenwerten beziffern lassen. Man spricht hier von quantitativen Biomarkern“, so Stöcker. „Wir streben eine Auflösung von einem halben Millimeter an – und zwar in allen drei Raumrichtungen. Die Gewebevolumina, die wir so abbilden, wären fast zehnmal kleiner, als das, was bei MRT-Bildern des Gehirns derzeit Standard ist. Wir könnten also feinere Details erfassen.“ Dabei geht es nicht nur darum, die Ausdehnung von Hirnstrukturen zu vermessen. Die Forscher wollen auch Eigenschaften des Gewebes präzise bestimmen – etwa die Transportfähigkeit für Wasser, den Wassergehalt und andere Parameter ¬– sowie den Blutfluss durch feine Gefäße. Alle diese Messgrößen liefern Informationen über den Zustand des Gehirns.
Klinische Studie des optimierten MRT-Verfahrens
Die so optimierten MRT-Verfahren sollen in einer klinischen Studie in Bonn und an vier weiteren europäischen Standorten zur Anwendung kommen. An diesen Untersuchungen werden Menschen mit einer genetischen Veranlagung für spinozerebelläre Ataxie teilnehmen. Die spinozerebellären Ataxien (SCA) sind eine Gruppe seltener neurologischer Erbkrankheiten, die Gleichgewichtssinn, Bewegungskoordination und Sprache beeinträchtigen. Bei Betroffenen treten Hirnveränderungen auf, die vorwiegend im Kleinhirn und Hirnstamm zu finden sind. Wirksame Therapien gibt es bislang nicht.
„Mehrere Behandlungsstudien gegen verschiedene Arten von SCA sind in Vorbereitung“, sagt Prof. Thomas Klockgether, Direktor der Klinischen Forschung am DZNE, der das klinische Arbeitspaket von SCAIFIELD leitet. „Es besteht daher ein dringender Bedarf an hochsensitiven Biomarkern, die subtile Veränderungen des Gehirns erkennen und Behandlungseffekte messen. Mit SCAIFIELD wollen wir neue bildgebende Biomarker identifizieren, die Frühzeichen und Krankheitsverlauf erfassen und als Messparameter für künftige therapeutische und präventive Studien bei SCA dienen können. Auch die klinische Forschung zu anderen Hirnerkrankungen könnte von den Methoden profitieren, die aus diesem Projekt hervorgehen.“
„Euro-ataxia“ ist an SCAIFIELD aktiv beteiligt
Die klinischen Untersuchungen werden im zweiten Jahr des Projekts beginnen und mit der Methodenentwicklung Hand in Hand gehen Die Patientenorganisation „Euro-ataxia“ ist an SCAIFIELD aktiv beteiligt: Sie unterstützt das Konsortium bei der Information von Patientinnen und Patienten, bei Kommunikationsmaßnahmen und bringt die Perspektive von Menschen mit SCA und deren Familien ein.
Über „EU Joint Programme – Neurodegenerative Disease Research (JPND)“: SCAIFIELD wird in Deutschland durch das Bundesministerium für Bildung und Forschung (BMBF) unter dem Dach des „EU Joint Programme - Neurodegenerative Disease Research (JPND)“ gefördert. JPND ist die größte globale Forschungsinitiative mit dem Ziel, die mit neurodegenerativen Erkrankungen einhergehenden Herausforderungen anzugehen. Im Rahmen von JPND sollen gemeinschaftlich und grenzenübergreifend koordinierte Forschungsaktivitäten zur Erforschung der Ursachen, Behandlung und Versorgung von Menschen mit neurodegenerativen Erkrankungen gefördert werden.
Quelle: DZNE
Artikel teilen





