Creutzfeldt-Jakob: Überlebenszeit vorhersagbar?

Modell zur Berechnung
lz
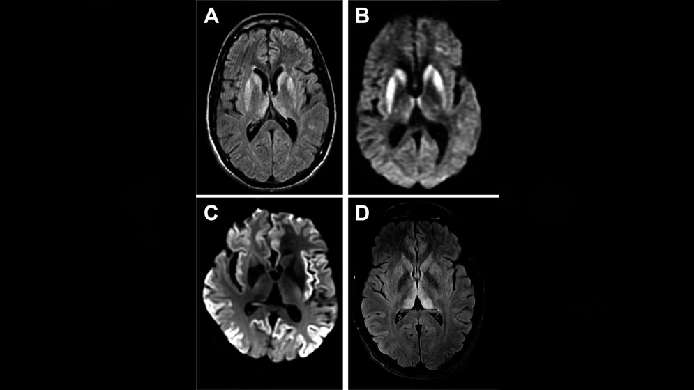
MRT der sporadischen CJK
MRT der sporadischen CJK* Pract Neurol, DOI: 10.1136/practneurol-2016-001571, open access, no changes, CC BY 4.0, https://creativecommons.org/licenses/by/4.0/
Newsletter­anmeldung

Bleiben Sie auf dem Laufenden. Der MT-Dialog-Newsletter informiert Sie jede Woche kostenfrei über die wichtigsten Branchen-News, aktuelle Themen und die neusten Stellenangebote.

Formularfelder Newsletteranmeldung

* Pflichtfeld

Bei der Creutzfeldt-Jakob-Krankheit handelt es sich um eine tödliche Erkrankung, die mit der Auflösung von Hirngewebe endet. Ein internationales Forscherteam der Universitäten Münster und Barcelona zusammen mit weiteren Kollegen/-innen hat nun ein Modell entwickelt, um die individuelle Überlebenszeit von Betroffenen zu berechnen.

Die Medien sprachen damals von „Rinderwahn“: Alle, die heute 40 oder älter sind, dürften sich noch gut erinnern können an die Bilder von torkelnden und stolpernden Rindern vor allem in UK. Die in den 1990er-Jahren grassierende Tierseuche, auch bekannt als BSE (Bovine spongiforme Enzephalopathie), gilt heute als nahezu ausgerottet. Bei Menschen gibt es eine ähnliche, tödliche Hirnerkrankung, die in dieser Variante Creutzfeldt-Jakob-Krankheit (CJK) heißt. Die häufigste Form beim Menschen ist allerdings nicht die übertragene, sondern die sporadische, kurz sCJK. Wie lange Betroffene nach einer sCJK-Diagnose noch zu leben haben, hat nun ein Forscherteam der Universitäten Münster und Barcelona zusammen mit weiteren Kolleginnen und Kollegen erstmals untersucht. Die Ergebnisse wurden gerade erst veröffentlicht.

sCJK: Spontan und ohne ersichtlichen Grund

Bei sCJK tritt die Hirnerkrankung spontan und ohne ersichtlichen Grund auf – und hat damit keinerlei Verbindung zu der übertragbaren Krankheit. Doch auch in dieser Variante löst sich das Gehirn allmählich auf; eine Therapie existiert bisher nicht. Menschen, die von sCJK betroffen sind, zeigen ähnliche Verhaltensmuster wie die kranken Rinder, die seinerzeit Schlagzeilen machten: Der Krankheitsverlauf beginnt mit demenzähnlichen Erscheinungen, schreitet voran mit einem zunehmenden Verlust der motorischen und geistigen Fähigkeiten und endet mit der schwammartigen Auflösung von Hirngewebe und dem Tod. Verantwortlich dafür sind atypische Proteine, sogenannte Prione: Sie weisen eine abnorme Faltung auf, die sie gesunden Proteinen aufzwingen. Die Folgen sind ein stark veränderter biochemischer Prozess und die Degeneration des Hirns.

Verbreitung von sCJK überschaubar

Die Verbreitung von sCJK ist überschaubar: So liegt die jährliche Rate in Deutschland bei etwa einem Fall je einer Million Einwohner. Zwar ist sCJK durch neurologische Untersuchungen relativ sicher diagnostizierbar, doch wie lang die restliche Lebenszeit ist, blieb bisher unklar: Ab dem Zeitpunkt der Diagnose liegt die Prognose bei etwa sechs Monaten – in einzelnen Fällen kann es sich aber auch um mehrere Jahre handeln. Klarere Erkenntnisse zur Überlebenszeit nach einer sCJK-Diagnose sind in mehrfacher Hinsicht wichtig: So könnten die Palliativpflege und die therapeutische Unterstützung besser auf den Patienten zugeschnitten werden und deren Lebensqualität verbessern. Ein Modell für eine solche Prognose existiert bislang nicht. Dr. Nicole Rübsamen sowie Prof. André Karch vom Institut für Epidemiologie und Sozialmedizin der Universität Münster, Dr. Franc Llorens vom Bellvitge Biomedical Research Institute in Barcelona und weitere Wissenschaftler haben nun ein Modell entwickelt, das ausgehend vom Zeitpunkt der Diagnose die restliche Lebenszeit individuell berechnen kann. Dafür hat das internationale Forscherteam Daten von rund 1.200 Patienten aus den Jahren 1993 bis 2017 ausgewertet; diese stammen aus dem Nationalen Referenzzentrum für die Surveillance transmissibler spongiformer Enzephalopathien.

Vorhersagewert zur individuellen Prognose Betroffener

Die Basis der Untersuchung bilden Daten aus Routineuntersuchungen, zum Beispiel Angaben zum CSF-tau-Protein, das auch bei Alzheimer-Erkrankten als Biomarker auftaucht, zum Zeitpunkt der Diagnose und zum Sterbedatum. Vier Angaben zum Betroffenen – das Alter, Geschlecht, Genotyp und die Konzentration des tau-Proteins im Nervenwasser – bilden das Modell, anhand dessen die restliche Lebenszeit abgeschätzt werden soll: Ein erster Vorhersagewert zur individuellen Prognose Betroffener.

Die Wissenschaftler sind mit dem neu entwickelten Modell zufrieden: Die Genauigkeit der Vorhersage schätzen sie als moderat bis gut ein, aus Sicht der Autoren aber noch optimierungsbedürftig. „Künftig könnten auch andere Werte eine wichtige Rolle spielen und einbezogen werden“, blickt Dr. Nicole Rübsamen, die sich mit Dr. Franc Llorens die Erstautorenschaft der Studie teilt, nach vorn. Als Beispiele nennt sie den synaptischen Schaden der Betroffenen sowie die Neuroinflammation.

*(A und B) Sporadische CJK (FLAIR) (A), diffusionsgewichtete Sequenz (B), (C) diffusionsgewichtete Bildgebungssequenz bei sporadischer CJK, (D) Variante der CJK FLAIR-Sequenz


Literatur:

Franc Llorens, Nicole Rübsamen, et al. (2020): A prognostic model for overall survival in sporadic Creutzfeldt‐Jakob disease. Alzheimer's & Dementia: Journal of the Alzheimer's Association. DOI: doi.org/10.1002/alz.12133.

Quelle: idw/Westfälische Wilhelms-Universität Münster

Artikel teilen

Online-Angebot der MT im Dialog

Um das Online-Angebot der MT im Dialog uneingeschränkt nutzen zu können, müssen Sie sich einmalig mit Ihrer DVTA-Mitglieds- oder Abonnentennummer registrieren.

Stellen- und Rubrikenmarkt

Möchten Sie eine Anzeige in der MT im Dialog schalten?

Stellenmarkt
Industrieanzeige