Myeloische und lymphatische Erkrankungen

7. Offenburger Hämatologietage
Barbara Oschwald-Häg
7. Offenburger Hämatologietage
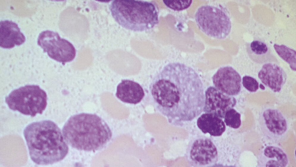
KM-Morphologie mit Plasmazelle (Mitte) © B. Oschwald-Häg
Newsletter­anmeldung

Bleiben Sie auf dem Laufenden. Der MT-Dialog-Newsletter informiert Sie jede Woche kostenfrei über die wichtigsten Branchen-News, aktuelle Themen und die neusten Stellenangebote.

Formularfelder Newsletteranmeldung

* Pflichtfeld

Zu den 7. Offenburger Hämatologietagen am 31. März und 1. April kamen 180 Teilnehmerinnen und Teilnehmer nach Offenburg.

Organisiert wurde die Veranstaltung vor Ort von Barbara Oschwald-Häg, Technische Laborleitung am Ortenau Klinikum Offenburg-Gengenbach und der Firma Sysmex, die die Teilnehmerverwaltung übernahm und dem DVTA als weiteren Werbeträger.Der Freitagnachmittag stand unter dem Motto: „Myeloische Erkrankungen und deren neue WHO-Klassifikation“. Der Vortrag wurde referiert von Dr. med. Andreas Jakob, Chefarzt für Hämatologie und Onkologie am Ortenau Klinikum Offenburg, Standort Josefsklinik.

In der neuen WHO-Klassifikation werden die Akute Myeloische Leukämie (AML) in 25 Subtypen und drei neue genetische Entitäten eingeteilt. Beim Myelodysplastischen Syndrom (MDS) gibt es sieben Subtypen, mit komplett neuen Namen. Sie sind gekennzeichnet durch Dysplasiezeichen einer oder aller drei Zelllinien, meist handelt es sich um typische Zytopenien. Die Myeloproliferativen Neoplasien (MPN) bedeuten immer eine Vermehrung der Zellularität (Zytosen) entweder im Knochenmark (KM) und/oder im peripheren Blut, jedoch keine Vermehrung der Blasten. Neu ist, dass bei der Bewertung der Zellen die Blastenanteile und deren Vorstufe aller Zelllinien identifiziert und hinzugezählt werden. Wichtigstes Kriterium für die Definition einer AML ist der Blastenanteil von > 20 %. Die AML M3 ist die einzige, aber sehr wichtige Ausnahme, wegen des sofortigen Therapiebeginns.

Dr. Matthias Egger aus dem Klinikum Lahr legte seinen Vortragsschwerpunkt auf die lymphatischen Erkrankungen, wobei er aus den NHL-Gruppen das Mantelzelllymphom hervorhob und beispielhaft den Zellzyklus, die Genexpression, den Nachweis des Cyclin D1, die Risikoeinteilung und die Therapiemöglichkeiten aufgezeigt hat.

Andreas Weitz von der Firma Sysmex hat anschaulich die gesamte Produktpalette im Bereich POCT-Analytik dargestellt und erläutert, wie die einzelnen POCT-Geräte miteinander vernetzt werden können.

Sein Fazit:

  • Generell kann man sagen, dass die Point-of-Care-Lösungen die Laboranalysegeräte nicht ablösen sollen, aber eine gute Ergänzung bieten.

Dank der Unterstützung von Sysmex konnten wir Dr. Heinz Diem aus dem Würmtal-Labor aus Gauting bei München als Referenten gewinnen. Nach einem Mini-Crashkurs durch die morphologische Hämatologie ging es um „Auffällige Zellen im peripheren Blut/KM“ mit der Frage nach:

  • Pathologische Zellen?
  • Reaktive Zellen?
  • Oder sind die Zellen nur am falschen Ort?

Fazit der gesamten Veranstaltung:

Es waren zwei sehr gelungene Tage. Bei der Reise durch die hämatologische Morphologie war für jeden etwas dabei, und vor allem war es sehr praxisbezogen. Ein erklärtes Ziel am Ende der Veranstaltung war, dass es im Jahr 2018 die 8. Offenburger Hämatologietage geben wird.

Entnommen aus MTA Dialog 6/2017

Artikel teilen

Online-Angebot der MT im Dialog

Um das Online-Angebot der MT im Dialog uneingeschränkt nutzen zu können, müssen Sie sich einmalig mit Ihrer DVTA-Mitglieds- oder Abonnentennummer registrieren.

Stellen- und Rubrikenmarkt

Möchten Sie eine Anzeige in der MT im Dialog schalten?

Stellenmarkt
Industrieanzeige