Die Computertomographie des ganzen Körpers ist in der Notfallversorgung von Unfallpatienten immer dann unverzichtbar, wenn es um ein mögliches Polytrauma geht, wenn also die Frage im Raum steht, ob neben offensichtlichen Verletzungen zum Beispiel der Arme oder Beine bei einem Unfall auch innere Organe geschädigt wurden. „Die Leitlinien machen hier ganz klare Vorgaben“, betont Dr. Thomas Kahl vom Institut für Radiologie und Neuroradiologie am Unfallkrankenhaus Berlin (ukb).
Alle Schwerletzten mit Hochrasanztraumen sollten eine solche Untersuchung erhalten, außerdem Patienten mit unklarer Bewusstlosigkeit sowie Opfer von Verkehrsunfällen, die bei über 30 km/h stattfanden.
Fast 6 von 10 Patienten haben interpretationsbedürftige Nebenbefunde
An spezialisierten Unfallkrankenhäusern gehören die Ganzkörper-CT-Untersuchungen bei Patienten mit Verdacht auf ein Polytrauma vor dem Hintergrund dieser Empfehlungen zum täglichen Geschäft. Für geschulte Radiologen ist dieser Blick über den unmittelbaren Tellerrand einer Untersuchung Standard, denn damit tragen sie maßgeblich dazu bei, dass Patienten optimal versorgt werden, bringt der 97. Deutsche Röntgenkongress (4.-7. Mai 2016, Leipzig) zutage.
Allein am ukb in Berlin werden pro Jahr nahezu 800 derartige Untersuchungen durchgeführt. „Dabei finden wir immer wieder Befunde, die mit dem Trauma gar nichts zu tun haben, auf die wir aber reagieren müssen“, so Kahl. Im Rahmen einer größeren klinischen Studie zur Ganzkörper-CT haben die Berliner Radiologen sich diese Nebenbefunde jetzt einmal genauer angesehen. Über erste Ergebnisse berichten sie beim Deutschen Röntgenkongress. So hatten von insgesamt 518 Patienten, die zwischen September 2014 und April 2015 eine Ganzkörper-CT erhalten hatten, knapp 300, also 57,9 Prozent, einen Nebenbefund.
Jeder zehnte erforderte eine unmittelbare Behandlung. „Darunter waren vorher nicht bekannte akute Lungenentzündungen und Entzündungen der Bauchspeicheldrüse, aber auch Tumorerkrankungen von Lunge und Gehirn“, so Kahl. Bei weiteren 13,3 Prozent der Patienten mit Nebenbefund erschien eine zügige Diagnostik und Behandlung ratsam. Bei den anderen Befunden handelte es sich entweder um harmlose Normvarianten oder um Befunde ohne dringenden Handlungsbedarf.
Strahlendosis für umfassende Diagnostik sinkt
Um diese Nebenbefunde zu erkennen und korrekt zu interpretieren, ist es unverzichtbar, dass breit geschulte Radiologen in die klinische Versorgung der Patienten eng eingebunden sind. „Wir schauen nicht nur auf die Knochen oder die jeweils verletzten Organe, sondern auch rings herum und gehen bei jedem Patienten das gesamte Bildmaterial durch. Dass wir an unserer Klinik bei Polytrauma-Patienten auch noch ein 4-Augen-Prinzip haben, bei dem zwei Radiologen voneinander unabhängig die Bilder analysieren, ist ein weiterer Faktor, der dazu beiträgt, nichts zu übersehen.“
Der technische Fortschritt ermöglicht es dabei, den „ganzen Patienten“ mit immer geringerer Strahlendosis im Blick zu behalten. „Durch die Entwicklung von 64- und 128-Zeilen-CT-Geräten ist die Strahlendosis in den letzten Jahren bereits deutlich gesunken“, so Kahl. Doch das ist noch nicht das Ende: Die am ukb laufende DoReMi-Studie, in deren Rahmen auch die Daten zu den Nebenbefunden bei Ganzkörper-CT erhoben wurden, evaluiert derzeit ein Ganzkörper-CT-Protokoll, bei dem die Strahlendosis mit Hilfe von Software-Optimierung nochmals um etwa die Hälfte reduziert wird. Mit Ergebnissen ist im Jahr 2017 zu rechnen. (DRG, red)
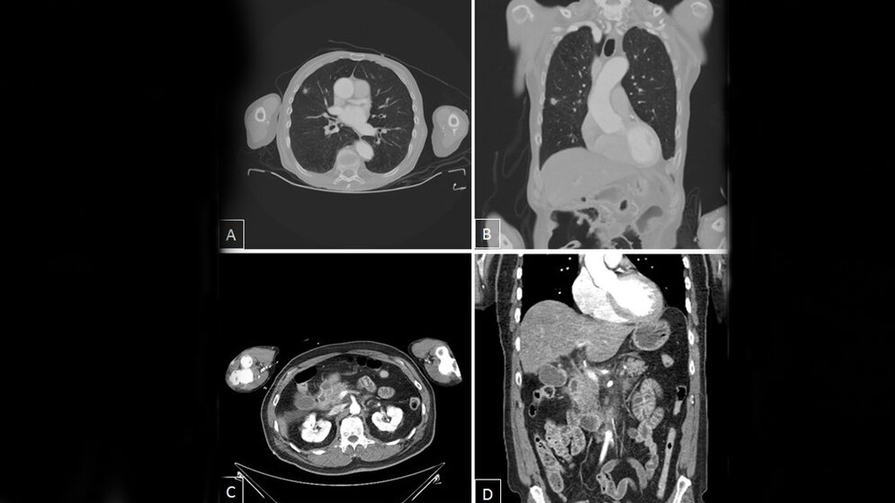
*A und B: Polytrauma-CT mit koronaler multiplanarer Rekonstruktion, Malignomsuspekte Lungenraumforderung rechts. Suspekt für ein peripheres Bronchial-CA.
C und D: Polytrauma-CT mit koronaler multiplanarer Rekonstruktion. Akute exsudative Pankreatitis.
Artikel teilen

