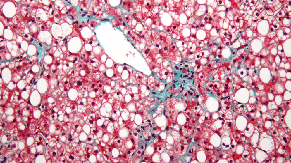
Die nicht-alkoholische Fettleber (NAFLD), auch Steatosis genannt, ist eine unterschätzte Lebererkrankung, die jedoch weltweit auf dem Vormarsch ist. Sie wird häufig mit Übergewicht und Typ-2 Diabetes assoziiert. In westlichen Ländern ist ca. ein Drittel der Bevölkerung von der Krankheit betroffen – oft ohne es zu bemerken. Als Folge von einer kalorienreichen Ernährung bei gleichzeitigem Bewegungsmangel beginnt die Leber Fetttröpfchen einzulagern. Dies ist zunächst harmlos, kann sich aber über die Zeit zu entzündlichen Lebererkrankungen weiterentwickeln. Hieraus können Fibrose, Leberzirrhose und sogar Leberkrebs entstehen.
Hautzellen reprogrammieren
Ein großes Hindernis bei der Erforschung von NAFLD war bisher, dass man auf Leberbiopsien von Patienten und gesunden Probanden angewiesen war. Dieses Problem umgehen die Düsseldorfer Forscher nun, indem sie Hautzellen im Labor zunächst zu Stammzellen reprogrammieren und diese zu Leberzellen (fachlich: Hepatozyten) ausdifferenzieren. „Unsere hepatozytenähnlichen Zellen sind zwar bislang noch nicht 100%ig reif, sie stellen dennoch ein hervorragendes Modellsystem dar, um eine so komplexe Krankheit wie die nicht-alkoholische Fettleber zu untersuchen“, sagt Dr. Nina Graffmann, vom Institut für Stammzellforschung und Regenerative Medizin und Erstautorin der Studie.
Hochregulation von PLIN2
Mit ihrem Modellsystem konnten die Forscher wichtige Schritte der Erkrankung nachvollziehen: Zum Beispiel die Hochregulation von PLIN2 – einem Protein, das Fetttröpfchen umschließt. Mäuse, die kein PLIN2 besitzen, werden nicht dick – auch nicht, wenn sie große Mengen fettreicher Nahrung fressen. „Wir können mit unserem System sehr effizient die Fetteinlagerung in hepatozytenähnlichen Zellen induzieren und beteiligte Proteine oder microRNAs durch Zugabe verschiedener Faktoren manipulieren. Dadurch ist dieses in vitro Modell hervorragend geeignet zur Erforschung von Medikamenten, die die Einlagerung von Fett in der Leber hemmen“, erklärt Dr. Graffmann.
Modell wird ausgeweitet
Die Arbeitsgruppe weitet ihr Modell nun aus und arbeitet mit induzierten, pluripotenten Stammzellen von Patienten, um dort Unterschiede zu finden, die den Krankheitsverlauf der nicht-alkoholischen Fettleber erklären. „Als Ergebnis einer früheren Studie – die auf Leberbiopsien und Serumproben von NAFLD Patienten basierte – stehen uns Daten und Biomarker zur Verfügung“, erläutert Prof. Dr. James. A. Adjaye, leitender Direktor des Düsseldorfer Institutes und Seniorautor der aktuellen Publikation. Er ergänzt: „Diese benutzen wir in Kombination mit unserem in vitro Modell. Wir wollen die Entstehung von NAFLD und die Entwicklung hin zu Folgeerkrankungen auf dem individuellen Level des Patienten verstehen, um dann als langfristiges Ziel personalisierte Therapiemöglichkeiten zu entwickeln.“ (idw, red)
Graffmann N, Ring S, Kawala MA, Wruck W, Ncube A, Trompeter HI et al.: Modelling NAFLD with human pluripotent stem cell derived immature hepatocyte like cells reveals activation of PLIN2 and confirms regulatory functions of PPARalpha. Stem cells and development. 2016.
Artikel teilen




