Spinale Malformationen: Stummelrippen und Querfortsatzanomalie der Halswirbelsäule

Schnittbilddiagnostik der Wirbelsäule (6.11)
Hans-Joachim Thiel
Spinale Malformationen: Stummelrippen und Querfortsatzanomalie der Halswirbelsäule
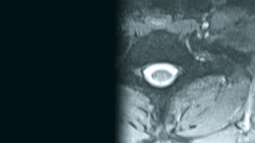
Abb. 1.1: Transversales MRT (T2 GE, 1 T): Halsrippe links bei HWK 7, im axialen MRT gut abgrenzbar © Für alle: H.-J. Thiel
Newsletter­anmeldung

Bleiben Sie auf dem Laufenden. Der MT-Dialog-Newsletter informiert Sie jede Woche kostenfrei über die wichtigsten Branchen-News, aktuelle Themen und die neusten Stellenangebote.

Formularfelder Newsletteranmeldung

* Pflichtfeld

Das Skelettsystem kann verschiedene Varianten und Malformationen aufweisen, die in ihrer klinischen Bedeutung variabel sind. Neben symptomatisch stummen Veränderungen können auch funktionelle Beeinträchtigungen, Schmerzen oder auch Beeinträchtigungen anderer Organe vorkommen.

Zusammenfassung

Die Inzidenz der zahlenmäßig varianten Rippenanlagen beträgt 6,3 %. Bei isoliertem Vorkommen handelt es sich um Normvarianten. Zervikale Rippen kommen bei etwa 2 % der Population vor. Sie sind in der Differenzialdiagnose bei supraklavikulären Raumforderungen zu berücksichtigen.

DOI: 10.3238/MTADIALOG.2017.0588

Entnommen aus MTA Dialog 7/2017

Online-Angebot der MT im Dialog

Um das Online-Angebot der MT im Dialog uneingeschränkt nutzen zu können, müssen Sie sich einmalig mit Ihrer DVTA-Mitglieds- oder Abonnentennummer registrieren.

Stellen- und Rubrikenmarkt

Möchten Sie eine Anzeige in der MT im Dialog schalten?

Stellenmarkt
Industrieanzeige